Fillings

Tooth Fillings at Yeronga Smile Dental
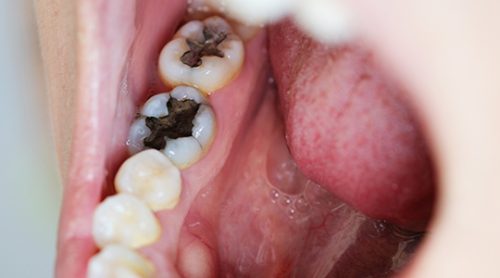
What is a dental filling and why might I need one? A dental filling is a treatment used to restore a tooth that has been damaged by decay. When a cavity forms, the decayed portion of the tooth is removed and the space is filled with a durable material to prevent further damage and restore function. If you're experiencing sensitivity, pain when biting, or visible holes in your teeth, it might be time to see the best dentist Yeronga has to offer.
How do I know if I need a filling?
Not all cavities cause pain — which is why regular check-ups are so important. That said, common signs you may need a filling include:
If you notice any of these symptoms, book an appointment with Yeronga Smile Dental for a thorough assessment.
What types of fillings do you offer?
We offer a range of modern filling materials, including:
We’ll discuss the best option for your tooth based on the location, bite pressure, and your preferences.
What happens during a filling appointment?
The process is simple and typically takes under an hour. Here’s what to expect:
- Local anaesthetic is applied to keep you comfortable.
- The decayed area is carefully removed.
- The tooth is cleaned and prepared.
- The filling material is placed and shaped.
- The filling is hardened using a curing light (if applicable) and polished.
You’ll be able to eat and speak normally shortly after the procedure.
Are fillings painful?
Not at all. We use gentle techniques and effective anaesthetic to ensure your comfort throughout. You may feel a little numb afterwards, but this wears off within a couple of hours. Our team always checks in with you to make sure you’re relaxed and informed.
Can old fillings be replaced?
Yes. Over time, older metal (amalgam) fillings may wear down, leak, or become discoloured. We can replace them with tooth-coloured options that look and feel more natural — giving your smile a fresh start.
Are fillings safe?
Absolutely. All materials we use are approved for safety and durability. We don’t use amalgam fillings, and our team stays up to date with the latest techniques and materials to ensure the best outcomes for our patients.
How long do fillings last?
With good oral hygiene and regular dental visits, most fillings last between 5 and 15 years, depending on the material used and the location of the filling. We’ll check them during your exams to make sure they’re still in great condition.
Why choose Yeronga Smile Dental for your fillings?
Choosing the right dentist matters — especially when it comes to long-term oral health. At Yeronga Smile Dental, we combine clinical precision with a warm, down-to-earth approach. If you’re looking for the best dentist Yeronga has for fillings and general care, our experienced team is ready to help. We take the time to understand your needs, explain your options, and deliver treatment that’s both effective and comfortable. Our practice is equipped with modern technology, and we take pride in helping our patients feel informed and at ease every step of the way.
Book your appointment today
If you think you might need a filling — or if it’s been a while since your last check-up — get in touch with Yeronga Smile Dental.
Contact us:
Yeronga Smile Dental
2/443 Fairfield Rd, Yeronga QLD 4104
(07) 3892 6677
